Un Ejercicio Necesario en la Práctica Diaria

La inyección de prueba o prueba de vía periférica es un procedimiento necesario en todo estudio que requiera administración de Medio de Contraste de manera mecánica (a través de una bomba inyectora), sobre todo en estudios especiales donde utilizaremos caudales de inyección altos:
- AngioTomografía.
- Perfusión.
- Estudios Trifásicos o Dinámicos.
El objetivo de la inyección de prueba es verificar que la vía periférica de un determinado paciente, con un determinado calibre de Abocath, para un determinado estudio, soporte el caudal de inyección considerado según las características particulares mencionadas; lo que nos asegura:
- Un buen estudio.
- Un alto valor diagnóstico.
- Evitar extravasaciones.
- Evitar la administración de un volumen adicional de Medio de Contraste.
- Evitar retraso o complicaciones en la evaluación del paciente.
- Gastos adicionales de materiales y recursos.
Debemos considerar en todo momento la particularidad de cada paciente y las características y recursos que se involucran en el procedimiento a realizar.

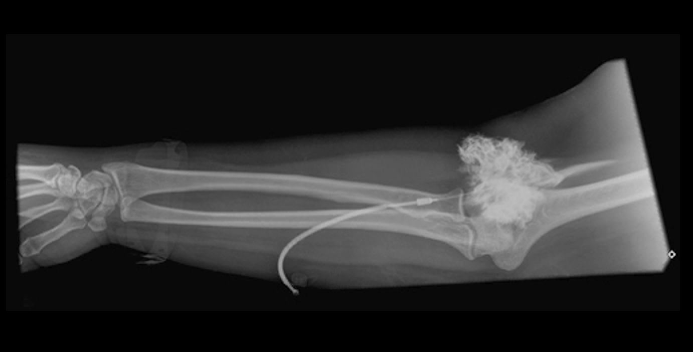
Extravasación del Medio de Contraste.
Imagen (Revista Chilena de Radiología): https://www.scielo.cl/scielo.php?script=sci_arttext&pid=S0717-93082015000400006
Para realizar una buena Inyección de Prueba debemos repasar tres conceptos fundamentales:
- El Caudal o Flujo de Inyección: Viene a ser el volumen de Medio de Contraste (ml.) que se administra por unidad de tiempo (seg.) Los flujos altos de inyección se consideran a partir de 4ml/seg. para pacientes adultos.
- El Límite de Presión: Viene a ser el Umbral pre determinado que nos permite observar y controlar cualquier eventualidad en la administración del Medio de Contraste durante la Inyección. Este Umbral se puede determinar a partir de la Inyección de Prueba.
- El PSI: POUNDS PER SQUARE INCH: Viene a ser la presión que se ejerce dentro de una estructura o espacio cerrado (libra por pulgada cuadrada). El PSI se puede ver afectado por diferentes detalles:
- A mayor caudal mayor presión.
- A mayor volumen mayor presión.
- A mayor viscosidad mayor presión.
- A mayor concentración de Iodo mayor presión.
- A menor calibre mayor presión.

Otros detalles que debemos considerar:
- La Inyección de prueba en una ejercicio que viene incorporado, o se puede programar en la consola del inyector automático, generalmente en los que tienen doble sistema de Inyección (MC + NaCl).
- Como sabemos la densidad del Medio de Contraste es mayor a la Densidad de la Solución Salina en una proporción de 3/1 aproximadamente.
- Antes de realizar la inyección de prueba debemos tener claro cual será nuestro caudal de inyección.
EN QUE CONSISTE LA INYECCIÓN DE PRUEBA?
El protocolo habitual nos recomienda utilizar:
- Un volumen pequeño de NaCl, por lo general 20ml.
- El Flujo de Inyección debe ser mayor al que será usado durante el estudio (considerando la diferencia de densidades).
- El caudal de Inyección para AngioTC está protocolizado por consenso internacional en 5ml/seg.
- El PSI para caudales de 6ml/seg de NaCl. se encuentra en el Rango de 60 a 70 PSI.

En éste ejemplo nuestro PSI es aproximadamente 70, lo que nos da una referencia del Límite de Presión que debemos considerar para la inyección de MC.
Considerando el ejercicio anterior, al tener un PSI de 70 (valor referencial) y considerando la diferencia de densidades MC(3) / Nacl(1) se entiende que nuestro límite de presión para la inyección debería ser 210 PSI, pero:
- El Límite de Presión nunca debe ser exacto, ya que puede generar que el Inyector Automático se bloquee o emita una advertencia por llegar al límite de manera súbita. Lo recomendable sería, si la inyección de prueba genera un PSI de 210, utilizar un límite de presión de 250.
- El Límite de Presión no debe estar tan alejado del que ha generado la inyección de prueba, ya que al desarrollarse una eventualidad durante la inyección, probablemente el inyector tardaría en reconocerla o en el peor de los casos pasarla por alto.

Cuando nuestra inyección de prueba ha excedido el Umbral habitual (60 - 70 PSI) para NaCl debemos revisar la canalización periférica y considerar:
LA CONDICIÓN DE LA VIA PERIFÉRICA:
- Caudal adecuado según el calibre del Abocath.
- Verificar que la llave de triple vía esté abierta en dirección de la vía periférica.
LA UBICACIÓN DE LA VÍA PERIFÉRICA: Lo recomendable es flexura del codo, considerando que una ubicación más distal genera mayor resistencia y mayor dolor a la inyección.
LA CONDICIÓN DEL PACIENTE:
- Si ha tenido tratamientos o compromisos de tejidos blandos que afectan la vía de canalización.
- El calibre del vaso.
- El estado de conciencia y colaboración.
- Movimientos que generen obstrucción o resistencia a la inyección.
En el caso de los CVC (Catéter de Vía Central) ya existen, de manera comercial, CVC de alto flujo que fueron diseñados para estudios que requieran de caudales altos (Hemodinamia, AngioTC, AngioRM, Hemodiálisis). Se debe consultar al personal médico responsable del paciente sobre las características del CVC. De no tener otra vía de acceso venoso, la inyección de prueba determinará si bajo esas condiciones el caudal no afectará directamente al estudio, ni al paciente, ni al valor diagnóstico.

De ser necesario, considerar una nueva vía periférica.
Por último debemos conocer como funciona nuestro bomba inyectora. Al presentarse un eventualidad o cruzar el límite de presión durante la inyección, algunas bombas sólo emiten un mensaje de alerta, más no detienen la inyección.

Las extravasaciones o complicaciones durante la inyección de MC. se deberían descartar en su totalidad si se ha realizado una prueba de vía periférica de manera correcta.
Publicado por: Lic Boris Torres M.
Fecha de publicación: 2025-09-01